首页>寻医·问药>医讯同期声医讯同期声
美国17岁少年接受阴茎缩小手术 系世界首例
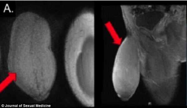
美17岁少年接受阴茎缩小手术 系世界首例
【环球网综合报道】据“俄罗斯世界”新闻网2月13日消息,美国一名17岁的少年接受阴茎缩小手术,为世界首例。
据报道,这名17岁少年的生殖器官长度为18厘米,而周长为25厘米,据医生介绍,这种情况是不正常的,可能引起阴茎的不正常勃起,即不受控制的长时间勃起。而这名少年也表示,这些身体上的异常使他不能进行某些正常的体育锻炼以及拥有性生活。
阴茎缩小手术进行的十分成功,手术后该少年表示心情十分喜悦以及激动。(实习编译:吕菁 审稿:翟潞曼)
编辑:曾珂
关键词:阴茎缩小手术 首例阴茎缩小手术 美少年接受阴茎缩小手术



西藏萨嘎达瓦 转经迎来最高峰
可爱动物为“世界无烟日”代言 萌翻网友
南京年轻人激情“彩虹跑”助威米兰世博会中国馆
南京气温“震荡上扬” 市民戏水冲浪消暑
巴黎“爱情锁桥”将封桥解锁
江苏扬州大学生行为艺术倡导禁烟
英女王亮粉套装出席白金汉宫花园聚会
甘肃武都:野生大熊猫罕见入村 吃野草莓尝新麦子



